![]() |
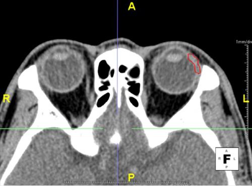
| △ 전산화 단층촬영으로 본 눈물샘의 모습. 빨간색 부분이 눈물샘이다. |
"'나이들어 눈물도 말랐다'는 말은 의학적으로 사실"
109명 눈물샘 부피 측정결과, 나이 들수록 눈물샘 부피감소
(서울=연합뉴스) 김길원 기자 = 노인들이 흔히 말하는 "나이가 드니 눈물도 말랐다"라는 표현은 실제 신체 노화 과정에서 나타나는 의학적 현상인 것으로 확인됐다.
25일 건양대의대 안과학교실 연구팀이 대한안과학회지 최근호(2015년 1월호)에 게재한 논문(전산화 단층촬영으로 측정한 정상 한국인의 눈물샘 부피)에 따르면 나이가 들수록 눈물이 잘 나오지 않는 것은 눈물샘의 부피가 감소하기 때문으로, 자연스러운 신체 노화 현상 중 하나인 것으로 나타났다.
눈물샘은 기본 기능인 눈물 분비 외에도 안구 표면의 면역체계에 중요한 역할을 한다. 눈물샘에 의한 눈물분비는 건강한 안구 표면과 시력을 유지하는 데 도움을 주며, 눈물의 양과 질이 줄어들면 안구건조증이 생길 수 있다.
연구팀은 얼굴 단층촬영을 통해 눈물샘 및 안와(눈을 둘러싸고 있는 뼈)에 특이 질환이 없는 109명(213안)을 대상으로 연령에 따른 눈물샘 부피 변화를 분석했다. 조사 대상의 평균연령은 43.5세(20~78세)로 남성 54명, 여성 55명이었다.
이 결과 한국인의 눈물샘 평균 부피는 오른쪽 눈 0.589㎤, 왼쪽 눈 0.583㎤로 각각 조사됐다.
연령대별 눈물샘의 평균 부피는 20~40세 0.630㎤, 41~60세 0.553㎤, 61세 이상 0.544㎤로 연령이 증가할수록 눈물샘의 부피가 감소했다.
또 이런 현상은 남녀 모두에서 같았는데, 연령 증가에 따른 절댓값의 차이는 남성(0.644→0.548→0.572)보다 여성(0.616→0.559→0.518㎤)이 더 컸다.
이에 대해 연구팀은 여성은 호르몬이 눈물샘의 발달과 노화에 영향을 미치는 정도가 남성보다 더 크기 때문인 것으로 분석했다.
하명숙 전 건양대의대 안과 교수는 "한국인 정상 눈물샘에 대한 3차원적인 부피가 보고된 것은 이번이 처음"이라며 "다른 질환에 의해 눈물샘 부피가 줄어들 수도 있지만, 상당수는 노화에 의한 것인 만큼 나이가 들수록 과다한 컴퓨터 사용이나 TV시청, 스트레스를 피하고, 영양분을 골고루 섭취하는 게 좋다"고 말했다.
[저작권자ⓒ 화순부자동네카임즈. 무단전재-재배포 금지]






































